Fatty Liver Disease
Metabolic dysfunction-associated steatotic liver disease (MASLD) has become the most common liver condition worldwide, affecting approximately 1 in 3 adults in Singapore. While often asymptomatic in early stages, it can progress to serious liver damage. Clinical evidence suggests that early-stage MASLD may be manageable through lifestyle intervention.
Book a Consultation
1 in 3
Adults in Singapore affected
80%
Have no symptoms initially
5-10%
Weight loss can reverse MASLD
Understanding Fatty Liver Disease
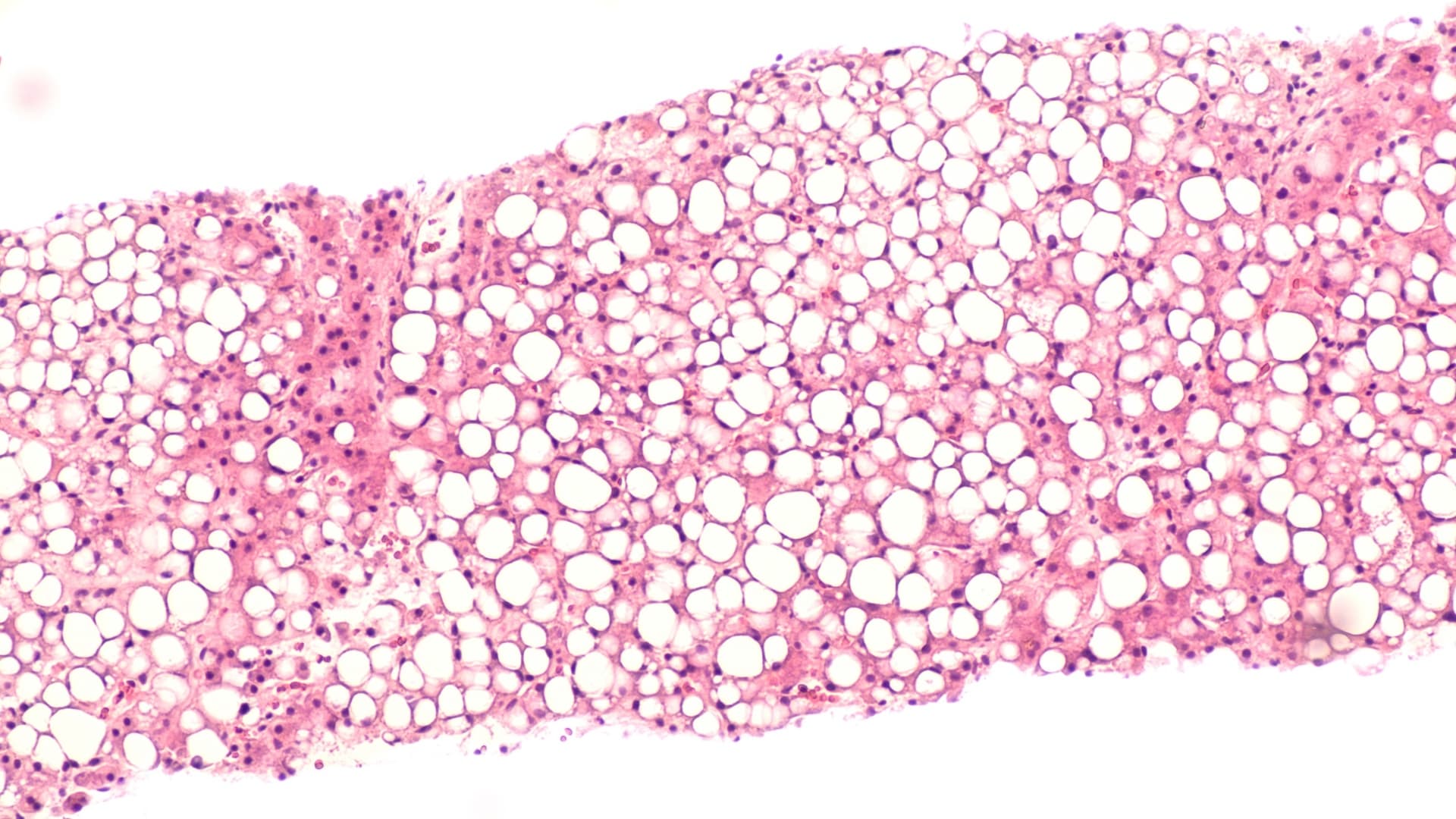
Fatty liver disease occurs when excess fat accumulates in liver cells. In metabolic dysfunction-associated steatotic liver disease (MASLD), this happens in people with metabolic risk factors. It is closely linked to metabolic conditions such as obesity, diabetes, and high cholesterol.
The condition exists on a spectrum, ranging from simple fat accumulation (steatosis) to metabolic dysfunction-associated steatohepatitis (MASH), which involves inflammation and can lead to liver scarring (fibrosis) and eventually cirrhosis.
Risk Factors
Stages of Disease
Fatty liver disease can progress through several stages. Understanding where you are in this spectrum helps guide treatment intensity.

Simple Steatosis (NAFL)
Fat accumulation in the liver without significant inflammation. Generally considered benign with low risk of progression.
Steatohepatitis (MASH)
Fat accumulation with inflammation and liver cell damage. Can progress to fibrosis and cirrhosis if untreated.
Fibrosis
Scar tissue begins to form around the liver and blood vessels. Still potentially reversible with treatment.
Cirrhosis
Extensive scarring with loss of normal liver function. Increases risk of liver failure and liver cancer.
Diagnosis and Assessment
Fatty liver disease is often discovered incidentally on blood tests or imaging. A detailed clinical assessment is important to determine the stage of disease and guide management.

Blood Tests
Liver enzymes, metabolic panel, fibrosis scores (FIB-4, NFS)

Ultrasound
Detects fatty changes and rules out other conditions


MRI-PDFF
Most accurate non-invasive method to quantify liver fat

Lifestyle-Based Treatment
Lifestyle modification is the cornerstone of fatty liver disease treatment. Weight loss of 5-10% of body weight is associated with a reduction in liver fat, inflammation, and even fibrosis.

Mediterranean Diet
Rich in healthy fats, lean proteins, and antioxidants

Regular Exercise
150+ minutes of moderate activity weekly
Diet
- Adopt a Mediterranean-style diet rich in fruits, vegetables, whole grains, and healthy fats
- Reduce intake of refined carbohydrates and added sugars
- Limit saturated fats and avoid trans fats
- Avoid fructose-sweetened beverages and processed foods
Exercise
- Aim for at least 150 minutes of moderate-intensity aerobic exercise per week
- Include resistance training 2-3 times per week
- Reduce sedentary time and increase daily movement
- Even modest weight loss (5-10%) can significantly improve liver health
Other Lifestyle Changes
- Avoid alcohol completely or limit to minimal amounts
- Get adequate sleep (7-8 hours per night)
- Manage stress through relaxation techniques
- Stop smoking if applicable
Medical Treatment
In addition to lifestyle changes, medical treatment may be recommended for patients with more advanced disease:
- GLP-1 agonists: Medications such as semaglutide have shown significant benefits in MASH
- Pioglitazone: May have benefits in diabetic patients with MASH
- Management of metabolic conditions: Optimal control of diabetes, hypertension, and dyslipidaemia
- New therapies: Several promising medications are in clinical trials and becoming available
Schedule a Clinical Assessment for Liver Health
If you have risk factors or have been told you have fatty liver, schedule a comprehensive assessment to understand your liver health and develop a personalised treatment plan.
Related Conditions
You may also be interested in learning about these related conditions.
Disclaimer: The information provided on this page is for educational purposes only and is not intended as a substitute for professional medical advice, diagnosis, or treatment. Always seek the advice of your physician or other qualified health provider with any questions you may have regarding a medical condition.